Question
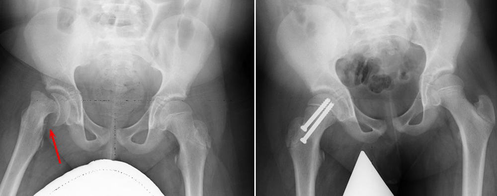
11yo male presents to pediatrician with a 3 week history of a painful left hip. He and his parents denies any inciting or traumatic event and he denies fever, chills, recent illness, or past symptoms. On physical examination, he has a noticeable limp and you elicit pain with passive internal rotation of the hip. Radiograph is below.

- What is the main risk factor for this condition?
- What radiographic abnormality is seen?
- What is the management of this condition?
- What is the most serious adverse event associated with this condition?
Answer
Diagnosis – Slipped Capital Femoral Epiphysis
1. The main risk factor is obesity in adolescence with > 60% of cases occurring in children ≥90th percentile weight for age.
2. Diagnosing SCFE on plain radiographs is accomplished by drawing a parallel line from the lateral femoral neck towards the femoral head. This line is called Klein’s Line. In normal patients, this line should intersect the lateral portion of the femoral head. In SCFE patient, it does not.
3. The mainstay of management of SCFE is operative stabilization by way of percutaneous in situ fixation

4. The most serious complication seen with SCFE is avascular necrosis of the femoral head, but other complications include chondrolysis and femoroacetabular impingement.

References
- Loder RT. The demographics of slipped capital femoral epiphysis. An international multicenter study. Clinical orthopaedics and related research. 1996; [pubmed]
- https://www.orthobullets.com/pediatrics/4040/slipped-capital-femoral-epiphysis-scfe
- http://www.wheelessonline.com/ortho/treatment_scfe

