27yo G1P1001 presents to the gynecologist’s office to get established as a new patient and have her annual well woman examination performed. She has had no GYN complaints over the past year and is not currently on her cycle.
Past Medical History
None
Medications
Ortho Tri-Cyclen
Past Obstetric History
38-week NSVD without complications
Past Gynecologic History
Age of menarch – 13
Coital debut – 17
Lifetime partners – 4
Cycles regular at 28-30 days and lasting for 3-5 days with mild/moderate bleeding
Last pap – 2014 and normal per patient No history of STI
Vital Signs
BP-124/75, HR-74, RR-14, O2-100%, Temp-99.1
Physical Exam
Abdomen – Soft, non-tender, non-distended
GU – no cervical motion tenderness, no adenexal tenderness
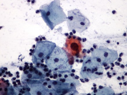
Pap Results
Atypical squamous cells of undetermined significance
Answer will be posted on 02/20
