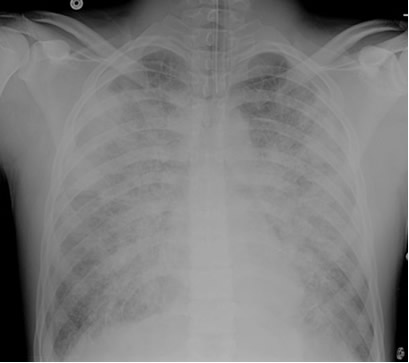
The diagnostic criteria for acute respiratory distress syndrome (ARDS) are the Berlin Criteria.
- Timing – within 7 days of a known clinical insult or worsening respiratory symptoms
- Imaging – Bilateral opacities not fully explained by effusions, atelectasis, or masses/nodules
- Absence of cardiac failure or fluid overload
- Hypoxemia – PaO2/FiO2 ≤ 300 mmHg with PEEP/CPAP ≥ 5 cmH2O
Reference
