Westermark’s Sign
Other Known Aliases – none
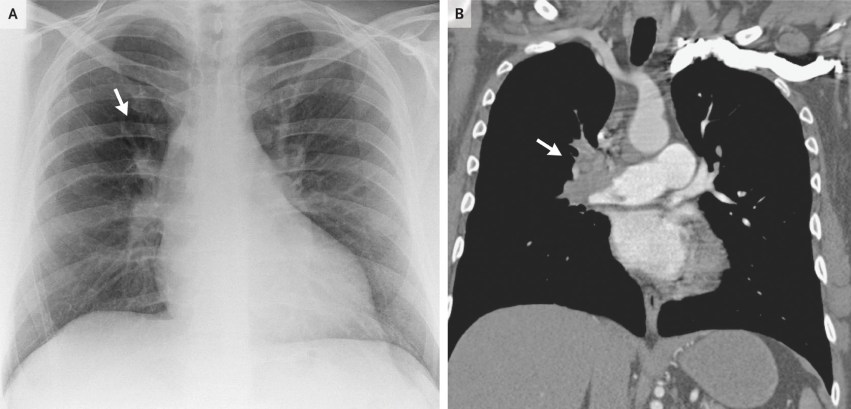
Definition – focal peripheral hyperlucency resulting from collapsed vessels distal to a pulmonary thromboembolism.
Clinical Significance – Occurs as a result of oligemia of perfusion to the lung parenchyma and can be seen in up to 10% of patients with acute PTE. Similar to Hampton’s Hump, it has a low sensitivity, but a high specificity
History – Named after Nils Johan Hugo Westermark (1892-1980), a Swedish radiologist who first described this finding in his 1938 paper entitled ” On the roentgen diagnosis of lung embolism”. He was also an accomplished sailor and won a silver medal in the 1912 Olympics.

References
- Firkin BG and Whitwirth JA. Dictionary of Medical Eponyms. 2nd ed. New York, NY; Parthenon Publishing Group. 1996.
- Bartolucci S, Forbis P. Stedman’s Medical Eponyms. 2nd ed. Baltimore, MD; LWW. 2005.
-
Yee AJ, Pfiffner P. (2012). Medical Eponyms (Version 1.4.2) [Mobile Application Software]. Retrieved http://itunes.apple.com.
- Whonamedit – dictionary of medical eponyms. http://www.whonamedit.com
- Up To Date. www.uptodate.com
-
Krishnan AS, Barrett T. Images in clinical medicine. Westermark sign in pulmonary embolism. NEJM. 2012; 366(11):e16. [pubmed]
- Radiopaedia. Westermark Sign. https://radiopaedia.org/articles/westermark-sign-1
- Westermark N. On the roentgen diagnosis of lung embolism. Acta Radiol 1938;19:357‑72.
